Apical View Echo Probe Position Guide

N.Intersales 148 views
Apical View Echo Probe Position Guide

Apical View Echo Probe Position Guide

Hey guys, let’s dive deep into the apical view echo probe position today. It’s one of those fundamental echocardiogram views that can feel a bit tricky to nail down at first, but trust me, once you get the hang of it, it unlocks a whole new level of understanding cardiac function. Think of the apical view as the superhero of echo imaging – it gives you that awesome, direct look at the heart’s chambers and valves from the bottom up. Getting this view just right is crucial for accurately assessing things like the size of your patient’s ventricles, how well they’re contracting, and the condition of the mitral and tricuspid valves. Without a solid apical view, you might miss subtle but important details that could change how you manage a patient. So, grab your transducer, get comfortable, and let’s break down exactly how to get that perfect apical shot. We’ll cover everything from patient positioning to common pitfalls, ensuring you can confidently capture this vital echo window. It’s all about precision and understanding the anatomy, so we can get the best possible images to help our patients. Remember, this view is your window into the heart’s pumping action, so mastering it is a game-changer for any sonographer or clinician working with cardiac imaging. We’re going to make this super easy to understand, so no worries if you’re new to this. We’ll cover the basics and then move on to some more advanced tips to really refine your technique. The goal here is not just to get the view, but to get a diagnostic quality view, every single time. This means understanding the subtle adjustments you might need to make based on patient body habitus, lung interference, and even just the patient’s ability to cooperate. So, let’s get started on this essential skill!

Understanding the Importance of the Apical View

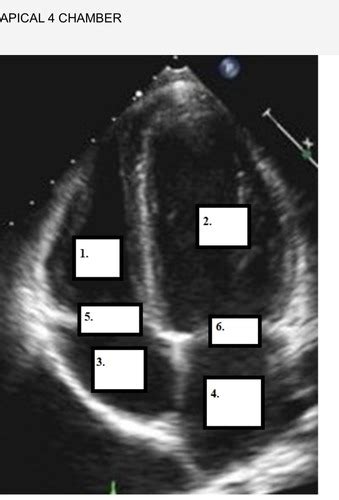
So, why is the apical view echo probe position so darn important? Well, imagine trying to understand how a car engine works by only looking at it from the side. You’d miss a ton of crucial details about how the pistons move, how the valves open and close, and the overall efficiency of the system. The apical view is kind of like that – it offers a unique perspective that other views just can’t replicate. When we talk about echocardiography, we’re essentially using sound waves to create moving pictures of the heart. The apical view, typically obtained from the apex of the heart (the pointy bottom part), gives us a fantastic look at all four chambers – the left atrium, left ventricle, right atrium, and right ventricle – in a way that highlights their size, shape, and most importantly, their function . We can directly visualize the systolic function (how well the heart is squeezing) and diastolic function (how well it’s relaxing) of the left ventricle, which is absolutely critical for diagnosing and managing conditions like heart failure, cardiomyopathies, and valvular heart disease. Furthermore, the apical view is gold standard for evaluating the mitral valve, our heart’s “inflow valve” for the left ventricle. We can see its leaflets move, check for regurgitation (leakage), or stenosis (narrowing). The tricuspid valve, on the other side, is also well-visualized in certain apical projections. Think about conditions like mitral valve prolapse or severe aortic stenosis; the apical view is often the first place we confirm the severity and impact of these issues. It also helps us assess for things like pericardial effusions (fluid around the heart) or thrombus (blood clots) within the cardiac chambers. Without mastering the apical view, you’re essentially flying blind in many diagnostic scenarios. It’s the foundation upon which many other diagnostic conclusions are built. So, when you’re aiming for that apical probe position, remember you’re not just trying to get a pretty picture; you’re gathering vital information that directly impacts patient care and clinical decision-making. It allows us to quantify stroke volume, cardiac output, and ejection fraction, which are key metrics for assessing overall heart health. The visual evidence from a well-obtained apical view can be incredibly persuasive and informative for both referring physicians and the patient themselves. It truly is a cornerstone of a complete echocardiographic examination, guys, and worth every bit of effort to perfect.

Step-by-Step Guide to Achieving the Apical View

Alright team, let’s get down to the nitty-gritty of achieving that perfect apical view echo probe position . It might seem intimidating at first, but follow these steps, and you’ll be capturing stellar images in no time. First things first: patient positioning . The patient should ideally be lying on their left side, also known as the left lateral decubitus position. Why the left side, you ask? Because this rolls the heart towards the transducer, bringing the apex closer to the chest wall and minimizing the distance sound waves have to travel through lung tissue, which can scatter ultrasound signals. Ask the patient to bring their left arm up and over their head or rest it on a pillow. This helps to abduct the left arm and open up the intercostal spaces, giving you better access. Now, for the probe selection . Generally, a phased array transducer (the one with the small, curved footprint, often called a “cardiac probe”) is your best bet. Its shape allows it to get between the ribs easily. Now, where do we place the probe? We’re looking for the apical impulse or point of maximal impulse (PMI) , which is usually felt in the 5th or 6th intercostal space at the mid-clavicular line. You might need to palpate the chest to find this spot. Once you’ve found a likely area, apply a good amount of ultrasound gel – don’t be shy with the gel, guys! It’s essential for good sound transmission. Place the probe perpendicular to the chest wall initially. The probe marker (usually a dot or a line) should be pointing towards the patient’s right shoulder or slightly towards the head. Now, here comes the art: manipulating the probe . Start with a standard apical four-chamber view. You’ll want to fan the probe slightly up and down, side to side, and rock it gently to optimize the image. Think of it like gently sweeping the probe across the area. The goal is to see all four chambers clearly: the left atrium, left ventricle, right atrium, and right ventricle. The left ventricle should be the largest chamber, and you should clearly visualize the mitral valve between the left atrium and left ventricle, and the tricuspid valve between the right atrium and right ventricle. Depth and gain adjustments are also critical. You might need to adjust the depth to ensure the entire heart is in the field of view, and the gain controls help to brighten or darken different parts of the image to make structures more visible. Common adjustments include decreasing the depth and increasing the gain as you get closer to the apex. If you’re having trouble seeing the apex clearly, try moving the probe slightly inferiorly and medially. Sometimes, a slight tilt of the transducer can bring the apex into better view. Remember, patience is key! You might need to try a few different spots and angles. The key takeaway here is left lateral decubitus position , finding the PMI, and then gently fanning and tilting the transducer to achieve optimal visualization of all four chambers and the valves. We’re aiming for that iconic image where the left ventricle looks like a bullet pointing towards the transducer. It’s all about finding that sweet spot where the heart is presenting its best profile to the sound waves. Keep practicing these steps, and you’ll master the apical view in no time, I promise! It’s a journey, but a very rewarding one.

Optimizing the Apical Four-Chamber View

Now that we’ve got the basics of positioning down, let’s talk about really optimizing the apical view echo probe position , specifically the apical four-chamber view. This is arguably the most important apical view, and getting it right means you’re well on your way to a diagnostic echocardiogram. When we talk about optimization, we’re aiming for clarity, completeness, and accuracy. First off, probe orientation is key. Remember we placed the marker pointing towards the patient’s right shoulder for the standard view? To optimize, you might need to slightly adjust this. Think of the probe as having two axes: the long axis (up-down) and the short axis (side-to-side) relative to its footprint. Gently rocking the probe from heel to toe (or toe to heel) helps you see different parts of the heart. Fanning the probe up and down, like opening a book, allows you to sweep through the heart and ensure you’re not missing any structures. You’re looking for a symmetrical appearance of the ventricles and atria, with the interventricular septum and the interatrial septum appearing as thin, distinct lines. Mitral valve visualization is paramount here. You want to see both the anterior and posterior leaflets of the mitral valve clearly opening and closing. If one leaflet seems foreshortened or obscured, try adjusting your probe angle slightly. Sometimes, tilting the probe away from the septum can bring the mitral valve into better view. Similarly, for the tricuspid valve , you want to see its leaflets. It might be slightly less prominent than the mitral valve in this view, but its function is just as important. Symmetry and Proportions are your visual cues for a good four-chamber view. The left ventricle should appear larger than the right ventricle. The atria should also be clearly delineated. If the ventricles look unusually shaped or disproportionate, you might be slightly off-axis, and adjustments are needed. Aortic and Pulmonary Artery Visualization are secondary goals in the four-chamber view but can sometimes be glimpsed. You might see a sliver of the aortic outflow tract posterior to the left atrium, and the pulmonary artery may be seen superiorly. If you need to specifically assess these, you’d move to other views, but their partial visualization here can be helpful for orientation. Doppler Integration is where this view really shines for functional assessment. Placing spectral Doppler on the mitral inflow allows you to assess diastolic function (E-wave and A-wave velocities). Color Doppler across the mitral valve helps identify any regurgitation. Similarly, Doppler on the tricuspid inflow and valve can provide information about right heart function and tricuspid regurgitation. Patient Factors also play a role in optimization. If you have significant lung overinflation (common in COPD patients), you might need to try positioning the patient slightly more upright or even on their right side for a brief moment to see if that improves visualization, though the left lateral decubitus is still preferred. Obesity can also make it harder to reach the apex, requiring deeper penetration and potentially lower-frequency transducers. Don’t be afraid to adjust gain and depth settings dynamically. As you fan through the heart, the optimal settings will change. Many modern machines have automatic gain control (AGC) features, but manual adjustments often yield superior results. The ultimate goal of optimization is to obtain a view that is not only anatomically correct but also allows for accurate functional assessment. This means clear visualization of all four chambers, the interatrial and interventricular septa, and all four valves (mitral and tricuspid are best seen here). So, keep fanning, keep rocking, adjust your depth and gain, and don’t be afraid to make small, precise adjustments. You’re aiming for that textbook image, guys! It takes practice, but the payoff in diagnostic accuracy is immense.

Common Pitfalls and How to Avoid Them

Even with the best intentions, achieving the perfect apical view echo probe position can sometimes feel like wrestling a slippery eel. Let’s talk about some common pitfalls you might encounter and, more importantly, how to sidestep them like a pro. One of the biggest headaches is lung interference . Ultrasound waves don’t travel well through air. So, if there’s too much lung tissue between your probe and the heart, you’ll get a fuzzy, non-diagnostic image. Solution: This is where the left lateral decubitus position is your best friend! It rolls the heart anteriorly, away from the lungs. If lung interference persists, try gently asking the patient to exhale slowly while you acquire the image, or try slightly different intercostal spaces, moving medially or laterally. Sometimes, a slight upward tilt of the rib cage by an assistant can also help. Another major issue is inadequate apical contact . The probe needs to be close to the apex of the heart. If you’re too high or too lateral, you won’t get that direct apical window. Solution: Actively palpate for the PMI. If you can’t feel it, use your ultrasound system’s depth adjustment to sweep through different levels until you locate the apex. Remember, the apex is usually inferior and slightly medial to the sternal border. Don’t be afraid to move the probe! Image foreshortening is another common problem, especially with the papillary muscles and ventricular walls. This makes structures appear shorter than they really are. Solution: This is often due to incorrect probe angulation. Try fanning the probe more gently or tilting it slightly. Imagine you’re trying to get the longest possible view of the left ventricular cavity. Adjusting the probe angle can dramatically change the appearance of the walls and papillary muscles. Poor valve visualization can lead to missed diagnoses. Sometimes the mitral valve leaflets are obscured, or the tricuspid valve is not seen clearly. Solution: For the mitral valve, try rocking the probe slightly from heel to toe. For the tricuspid valve, you might need to fan more superiorly and medially from the standard four-chamber view. Remember that the tricuspid valve is typically best seen in the apical four-chamber view, but slight adjustments are often needed. Inadequate depth or gain settings can make structures too dark or too bright, obscuring important details. Solution: Always adjust your depth and gain settings for each specific view and patient. Too much gain can cause “noise” and artifacts, while too little gain can make the image too dark. Pay attention to the brightness of the walls and chambers. Patient habitus (body type) can present challenges. In larger patients, the heart might be deeper, requiring a lower-frequency transducer and more careful adjustments. Solution: For obese patients, you might need to go deeper, which can sacrifice some resolution. A lower-frequency transducer (e.g., 2-3 MHz phased array) is often necessary. Try different intercostal spaces and be persistent. For very muscular patients, muscle artifact can sometimes mimic abnormal wall motion, so be aware of that possibility. Motion artifact from breathing or patient movement can blur the image. Solution: Ask the patient to hold their breath briefly during image acquisition, especially during critical moments like valve closure. Gentle pressure on the probe can also help stabilize it. Finally, not rotating the probe sufficiently can mean you miss dynamic events. Solution: While the four-chamber view is primary, don’t forget to slightly rotate the probe clockwise to get the apical two-chamber view (showing the LV and LA) and counter-clockwise towards the right shoulder for the apical three-chamber view (LV, LA, and a sliver of the aorta). These complementary views provide a more complete picture. The key to avoiding these pitfalls is consistent practice, understanding the underlying anatomy and ultrasound physics, and a willingness to make small, iterative adjustments . Don’t get discouraged if a view isn’t perfect the first time. Every patient is different, and learning to adapt is part of the art of echocardiography. Keep trying, guys! You’ll get there.

Advanced Techniques and Considerations

Once you’ve got the basic apical view echo probe position down pat, there are always ways to push your skills further. Advanced techniques can unlock even more detailed information about cardiac function and structure, especially in complex cases. Let’s talk about the apical long-axis view (three-chamber view) . While we often start with the four-chamber, rotating the probe slightly counter-clockwise (marker towards the right shoulder) brings the aortic valve and the left ventricular outflow tract into view alongside the left atrium and left ventricle. This view is absolutely crucial for assessing the aortic valve and the anterior wall of the left ventricle. You can better visualize aortic stenosis or regurgitation and assess the flow through the left ventricular outflow tract. Another important view is the apical two-chamber view . Rotating clockwise from the four-chamber view (marker towards the left shoulder) removes the right-sided structures and gives you a beautiful sagittal view of the left ventricle and left atrium. This is excellent for evaluating the inferior and anterior walls of the left ventricle and the mitral valve from a different perspective. It’s great for seeing global longitudinal strain. Harmonic imaging is a feature on most modern ultrasound machines that uses the fundamental frequency and its harmonics to create a clearer image with less clutter and fewer artifacts, especially in deeper structures. Solution: Ensure harmonic imaging is enabled; it often significantly improves image quality without requiring major changes in probe manipulation. Contrast echocardiography can be a game-changer when visualization is poor due to body habitus or lung interference. Microbubble contrast agents injected intravenously can opacify the cardiac chambers, making it easier to define chamber borders, assess wall motion, and detect thrombi. Solution: If you’re struggling to get a good apical view, especially for assessing LV function or detecting apical thrombi in patients with poor acoustic windows, consider using contrast. It can make a huge difference in diagnostic confidence. 3D echocardiography is becoming increasingly common and provides a volumetric dataset of the heart. While acquiring a good 3D apical volume can be challenging, it offers incredible insights into valve morphology and function, as well as complex congenital heart disease. Solution: If your machine has 3D capabilities, practice acquiring apical volumes. It requires excellent 2D apical views as a starting point and often involves the patient holding their breath. The reconstruction can then be manipulated on screen to provide views that are difficult or impossible to obtain in 2D. Strain imaging , particularly speckle-tracking echocardiography, is a more advanced functional assessment that can detect subtle abnormalities in myocardial contraction before changes in ejection fraction are apparent. Solution: This technique relies on high-quality, off-axis apical views (often a combination of apical 2, 3, and 4-chamber views) with minimal artifact. Ensuring optimal gain, depth, and minimal motion blur is critical for accurate strain analysis. Automated 2D Tracking (A2C) and 3D Automated Acquisition (A3A) are features that attempt to automate the acquisition of standard apical views, aiming for consistency and speed. Solution: While these tools can be helpful, always critically evaluate the automated images. They are a guide, not a replacement for skilled sonographer oversight. Understand how the automated system is positioning the probe and what standard views it’s trying to replicate. Specific Patient Populations warrant special consideration. For pediatric patients, the heart is smaller and often requires higher-frequency transducers and very gentle probe pressure. For critically ill patients on ventilators, managing respiratory artifact is key. Solution: Tailor your technique to the patient. Gentle handling, appropriate transducer choice, and careful attention to breathing patterns are essential. Remember, mastering these advanced techniques builds upon a solid foundation of basic apical view acquisition. It’s about continually refining your understanding of cardiac anatomy and how ultrasound interacts with it. Don’t be afraid to experiment and ask questions. Continuous learning is what makes us better sonographers and clinicians, guys! Keep pushing the boundaries of what you can see and understand.

Conclusion

So there you have it, guys! We’ve journeyed through the intricacies of the apical view echo probe position , from understanding its vital importance to mastering the step-by-step techniques, optimizing those crucial views, and navigating common pitfalls. Remember, the apical view isn’t just another picture; it’s your window into the heart’s dynamic function, offering unparalleled insights into chamber size, wall motion, and valve performance. The ability to consistently obtain high-quality apical images is a hallmark of proficient echocardiography. We’ve emphasized the critical role of patient positioning in the left lateral decubitus position, the importance of finding the apical impulse, and the subtle art of fanning, tilting, and rocking the transducer to achieve optimal visualization. We also delved into common challenges like lung interference and foreshortening, providing practical solutions to overcome them. For those looking to elevate their skills, we touched upon advanced techniques like apical long-axis and two-chamber views, contrast echo, and strain imaging, underscoring that there’s always more to learn and perfect. The journey to mastering echocardiography is continuous, and the apical view is a cornerstone of that mastery. Keep practicing, keep refining your technique, and never underestimate the power of a well-executed apical echo. Your patients will thank you for it, and your diagnostic confidence will soar. Keep those probes moving and those hearts imaging!